医療コラム - 2|調布の歯医者なら「ムラタデンタルクリニック」|インプラント・親知らずの抜歯

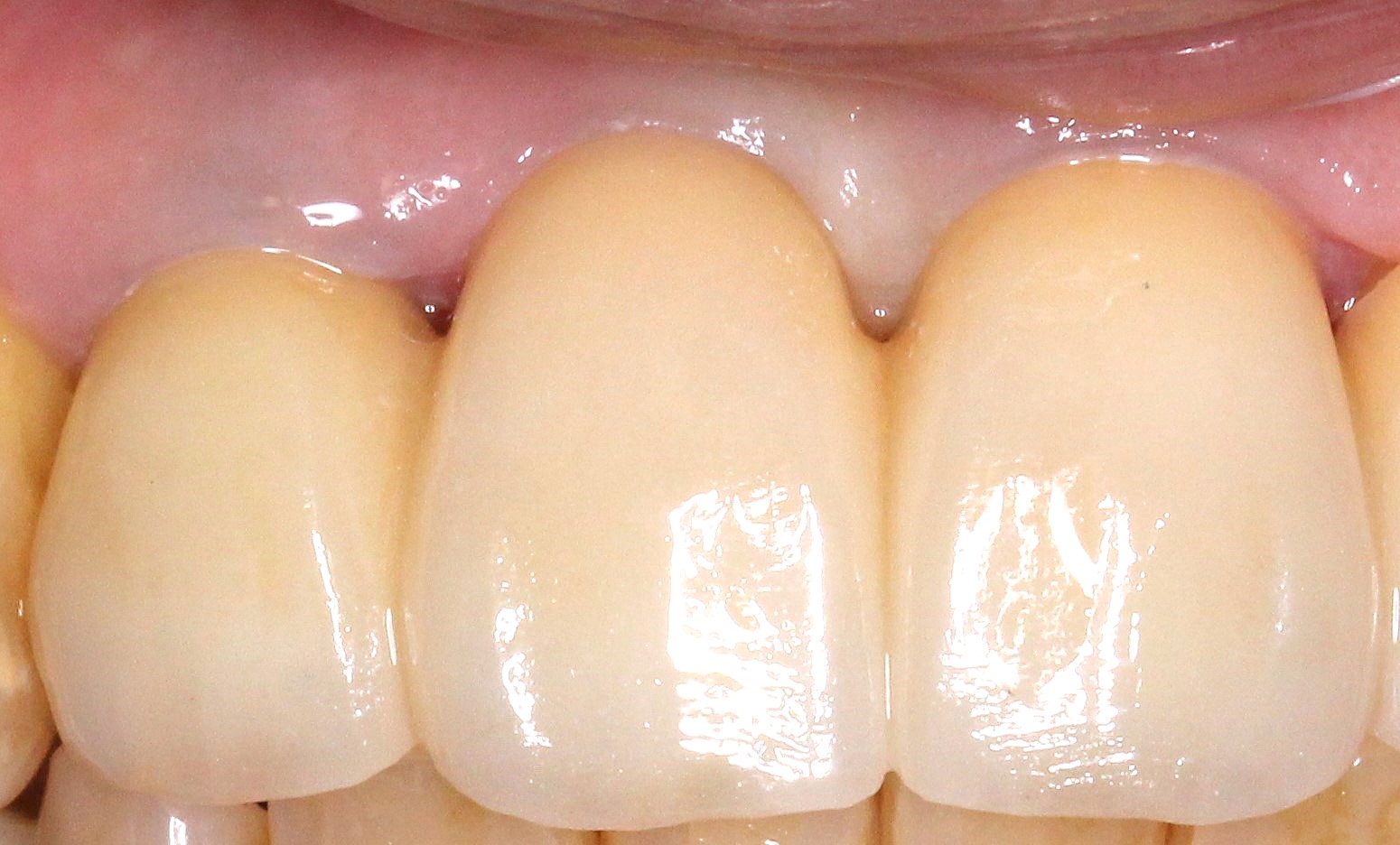
審美歯科 美容歯科 前歯 ジルコニア
2026年3月16日

インプラント フルジルコニア ブリーチ色
2026年3月12日

インプラント スクリュー固定 フルジルコニアクラウン
2026年3月07日

インプラント スクリュー固定 フルジルコニア
2026年2月21日

インプラント 小臼歯 フルジルコニアクラウン
2026年2月17日

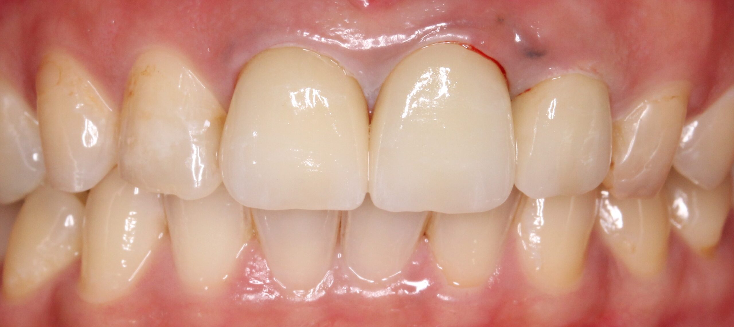
審美歯科 美容歯科 前歯 6歯 フルジルコニアクラウン メタルタトゥー除去
2026年2月09日