2026年2月09日

調布 歯科医院 ムラタデンタルクリニック
前歯の治療は、様々な要素を考えながら治療を進めます。
①歯牙の大きさや形態、バランス、色調
②歯牙の咬合平面
③歯肉の形態、ボリューム、色調
④咬合関係
これらすべての条件が整うと、すごく綺麗で天然歯様な見た目や機能が獲得できます。
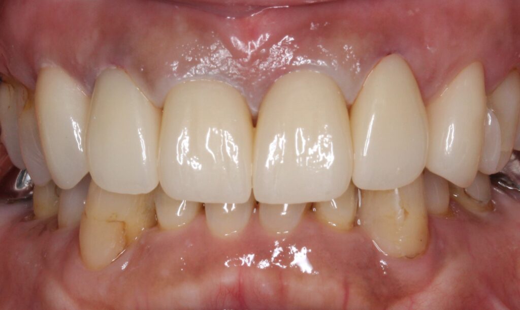
もともと、金属の支台(メタルコア)、メタルボンド(金属フレームに陶材を盛りつけた被せ物)が装着されており、周囲歯肉にメタルタトゥー(金属イオンの溶出による歯肉の黒色化)が進んでいました。
メタルコアをファイバーコア(金属を使用しない支台)に変更し、被せ物はフルジルコニアクラウンに変更、
金属イオンが歯質に染みこみ黒色変化した部分をできるだけ削りとります。
そして、正確な言語化が難しい表現になりますが、支台歯を削り歯型を印象採得するまえに、歯肉が退縮しない程度に支台歯側の歯肉表面一層をマイルドに削り、メタルタトゥーも一層削ぎ、あえて軽度に傷をつけ炎症をおこさせます。

これらの処置を遂行することによって、歯肉の炎症が落ち着いた時、メタルタトゥーは大部分消失してくれます。
もちろん個人差はありますので、完全に消失するとは言い切れません。



メタルタトゥーは大部分消失し、歯肉形態も綺麗に整い、綺麗な治療ができました。
著者 歯科医師 村田拓也