審美歯科 美容歯科 前歯 ジルコニア |調布の歯医者なら「ムラタデンタルクリニック」|インプラント・親知らずの抜歯

〒182-0026東京都調布市小島町2-48-2 調布サウスゲートビル2F

042-499-6480

下層ヘッダー画像

審美歯科 美容歯科 前歯 ジルコニア 

審美歯科 美容歯科 前歯 ジルコニア |調布の歯医者なら「ムラタデンタルクリニック」|インプラント・親知らずの抜歯

2026年3月16日

審美歯科 美容歯科 前歯 ジルコニア 

調布 歯科医院 親知らず抜歯 インプラント ムラタデンタルクリニック

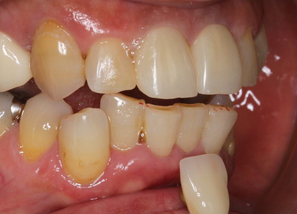
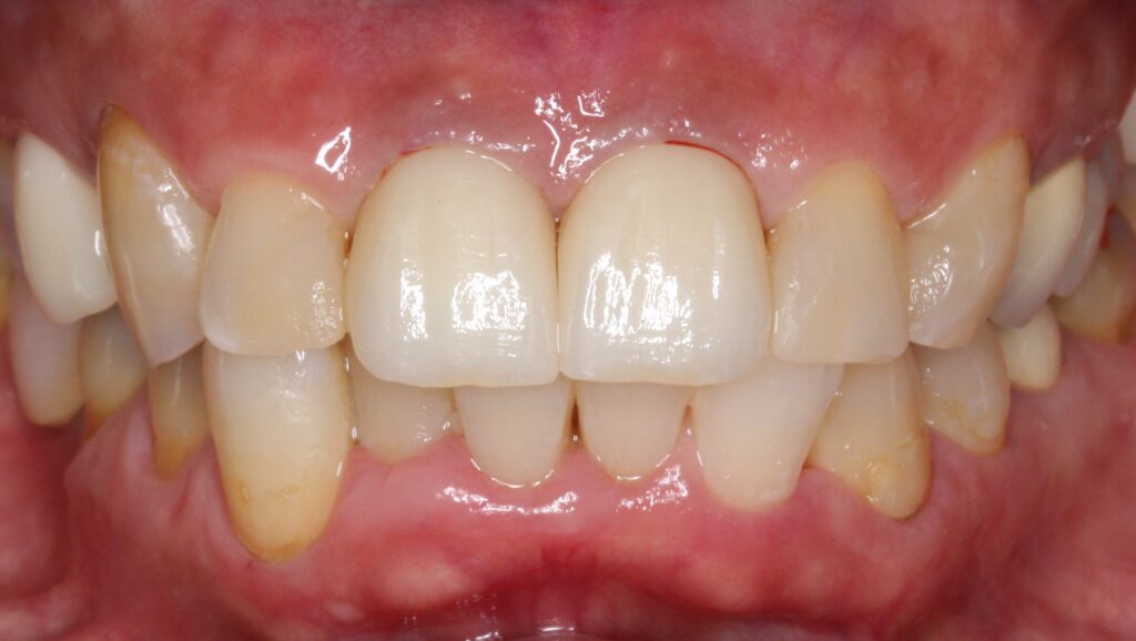
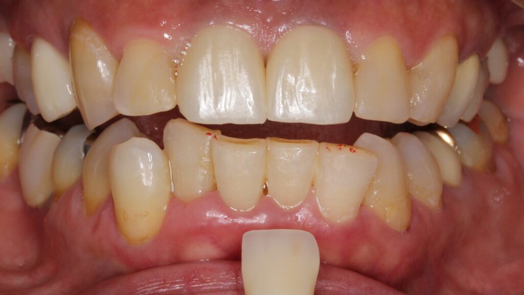
上顎両側1番 前歯のジルコニアクラウンになります。

前歯の加療は、歯牙の色味、形態で、顔貌の見え方や印象に大きく影響します。

このような理由から、審美歯科治療、美容歯科治療とも言われます。

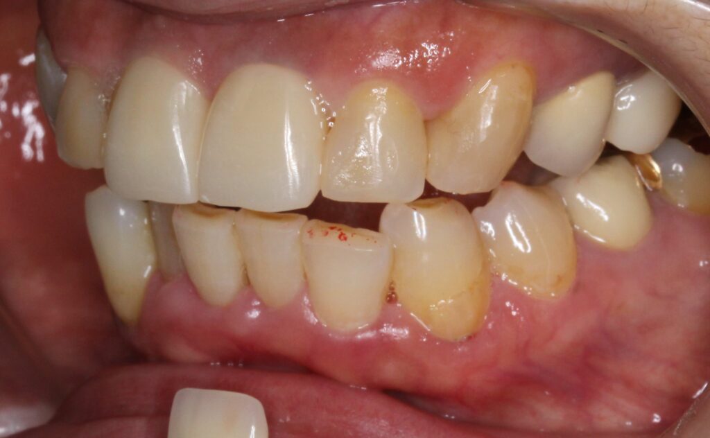
当院では、歯牙の形成、印象採得後に必ず試適をおこないます。

試適時の写真です。

試適の段階において、被せ物は光沢感を付与する前の状態でおこないます。

この時、適合性、噛み合わせ、形態、大きさ、平面、色味、のバランスなどを患者さんと一緒にチェックします。

せっかく綺麗に製作しても、製作歯牙が大きすぎたり、周囲歯牙の形態と異なっていたら美しくありません。

歯牙もさまざまな形態があり、患者さんそれぞれ歯牙の形態に個性があります。

試適の段階で、不一致部分は修正してから仕上げ作業にはいります。

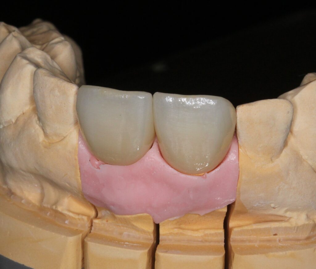
完成時の写真です。

歯牙周囲歯肉の仕上がり方も意識し製作いたしました。

歯肉縁下(歯肉の内部)にマージン(歯牙と被せ物の移行部)を設定し、歯冠乳頭(歯牙の間の歯肉)も再現し、綺麗に完了いたしました。

著者 歯科医師 村田拓也

TOP