2025年10月15日

調布 歯科医院 ムラタデンタルクリニック
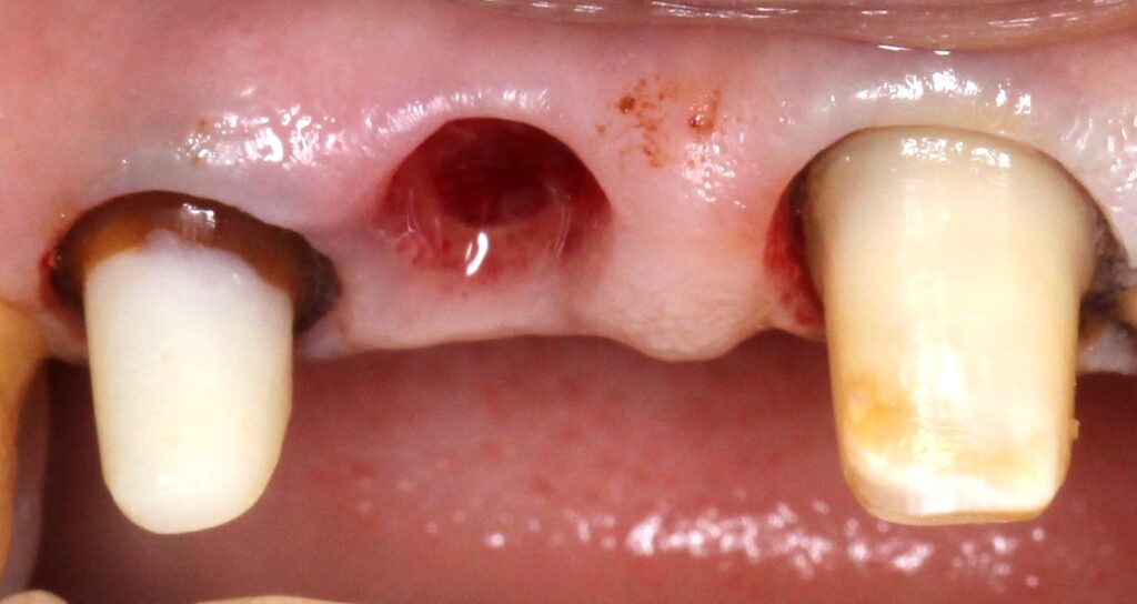
こちらも、今まで投稿させていただいた、歯肉部分の処置も施行したフルジルコニアポーセレンフェイシングブリッジになります。

歯牙マージンを歯肉縁下0.5~1.0mmに設定。
歯牙抜歯後歯肉部分は仮歯にて凹状態を形成。
歯間乳頭部分の空隙(ブラックトライアングル)ができないような処置。

綺麗に完成いたしました。
著者 歯科医師 村田拓也
審美歯科 フルジルコニア ポーセレンフェイス
2025年10月15日

調布 歯科医院 ムラタデンタルクリニック
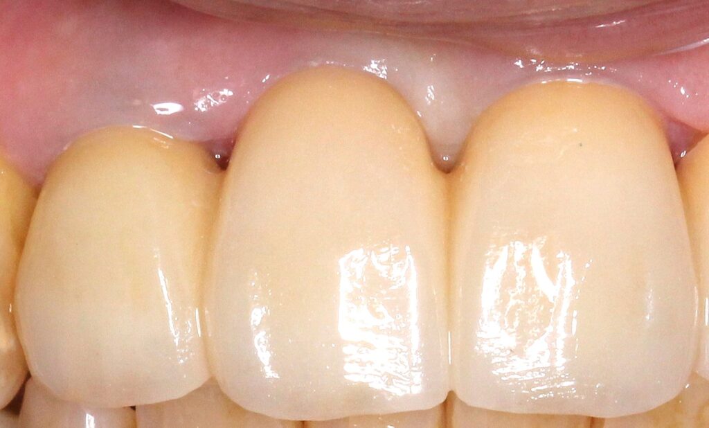
こちらも、今まで投稿させていただいた、歯肉部分の処置も施行したフルジルコニアポーセレンフェイシングブリッジになります。

歯牙マージンを歯肉縁下0.5~1.0mmに設定。
歯牙抜歯後歯肉部分は仮歯にて凹状態を形成。
歯間乳頭部分の空隙(ブラックトライアングル)ができないような処置。

綺麗に完成いたしました。
著者 歯科医師 村田拓也
TOP