2025年12月11日

調布 歯科医院 親知らず抜歯 インプラント ムラタデンタルクリニック




インプラントの上部構造の製作は、近年においては口腔内スキャナー印象(IOS印象)が一般的になりつつあります。
従来の、ドロッとした印象材というものは使用せずに、口腔内を専用の機械でスキャンします。
スキャンデータよりミリングマシンにて口腔内模型を削り出し製作します。従来の石膏模型は使用しません。

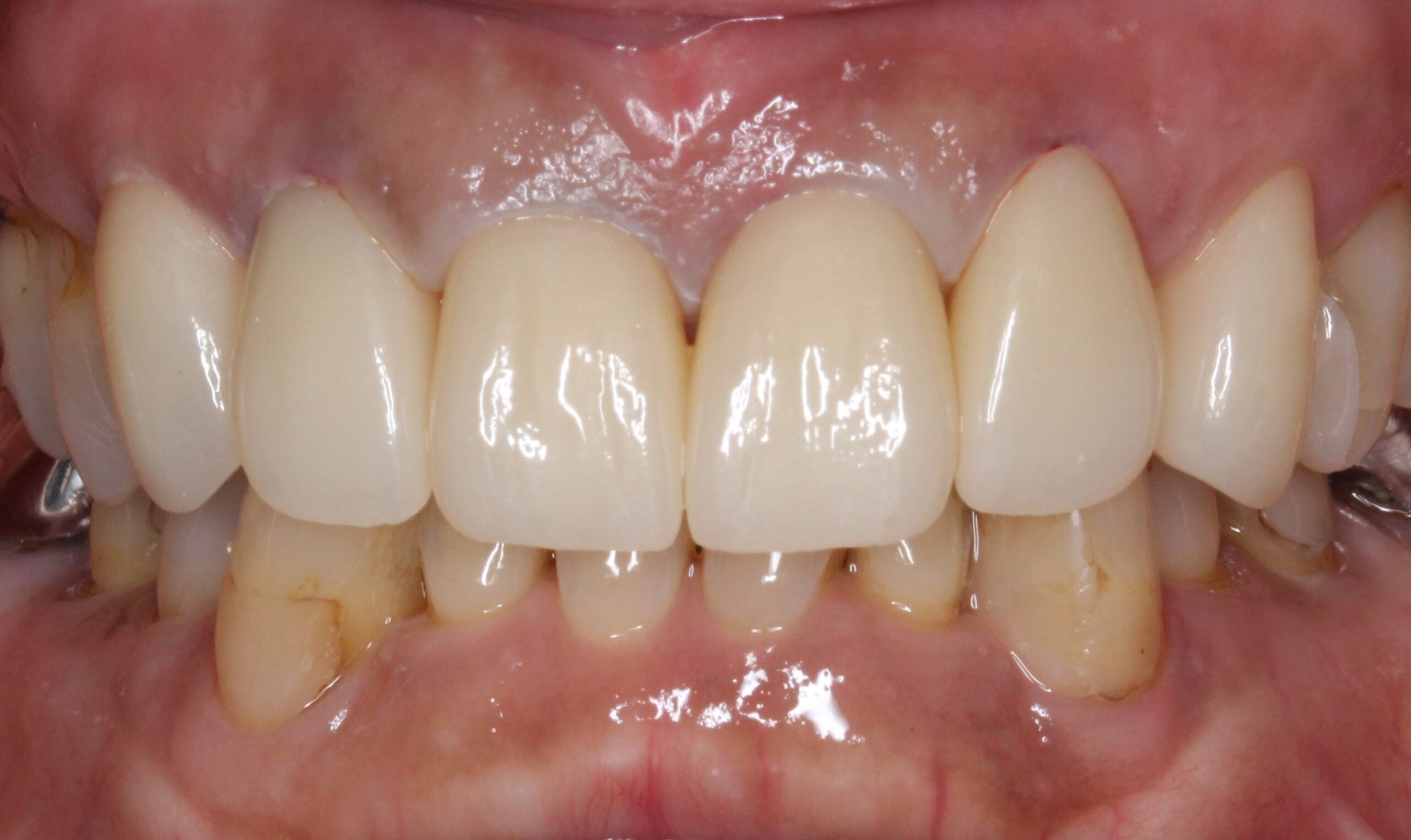
写真の画像では少し浮いておりますが、口腔内では、スクリューで締め付けるため、上部構造は歯肉に密着いたします。
IOS印象はまだ条件が限定されますが、少数歯では適合良い補綴物の製作が可能となります。
綺麗にしあがりました。
著者 歯科医師 村田拓也