インプラント 前歯 ボーンアンカードブリッジ|調布の歯医者なら「ムラタデンタルクリニック」|インプラント・親知らずの抜歯

〒182-0026東京都調布市小島町2-48-2 調布サウスゲートビル2F

042-499-6480

下層ヘッダー画像

インプラント 前歯 ボーンアンカードブリッジ

インプラント 前歯 ボーンアンカードブリッジ|調布の歯医者なら「ムラタデンタルクリニック」|インプラント・親知らずの抜歯

2025年11月04日

インプラント 前歯 ボーンアンカードブリッジ

調布 歯科医院 親知らず抜歯 インプラント ムラタデンタルクリニック

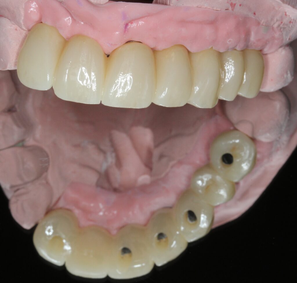
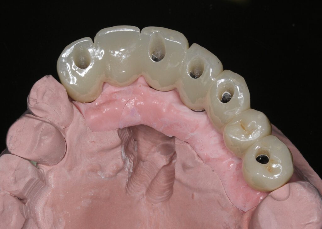
今回は、前歯部 インプラント ボーンアンカードブリッジになります。

前歯部の治療は、顔貌の印象に大きくかかわります。

患者さん一人ひとり、顔貌のバランス、口腔内の状態が異なるため、その方に合った状態で製作いたします。

スクリュー固定式で製作いたしました。

適正な位置にインプラントを植立し、アクセスホール(スクリューネジを挿入、締め付けるための穴)を歯牙咬合面に設定できることが大切です。

綺麗に完成いたしました。

著者 歯科医師 村田拓也

TOP