2025年10月18日

調布 歯科医院 親知らず抜歯 インプラント ムラタデンタルクリニック
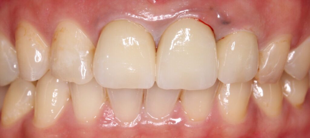
前歯の歯茎の黒ずみに関するお話です。
前歯は保険適応の被せ物であったり、メタルボンドクラウンといい、金属フレームにセラミックを築盛して製作した保険外の被せ物が装着されている場合、歯肉ラインの退縮による金属色の露出や金属イオンの溶出によって、被せ物のフチや歯肉が黒くなることがあります。
この黒くなった状態を、ブラックマージンやメタルタトゥーといいます。

歯肉が退縮することによって、被せ物と歯牙との境界線が露出しますので、露出部分がむし歯になることによっても黒色化していきます。
むし歯部分をしっかりと除去
被せ物と歯牙との境目(マージン)を歯肉縁下0.5~1.0mmに設定
歯牙と歯牙との間の歯肉(歯間乳頭)の温存、再現
これらの処置をしっかりとおこなうことで、黒色を可能な限りめだちづらくすることができます。
歯肉への金属イオン溶出によるメタルタトゥーは完全に消えない事もあります。

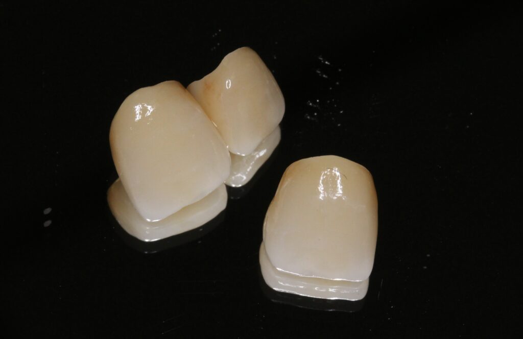
被せ物は、フルジルコニアクラウンです。
フルジルコニアクラウンは金属を使用しておりませんので、歯肉への金属イオンの溶出がありません。

口腔内写真を撮影し、周囲歯牙形態、色調に合わせながら製作いたしますので、綺麗に仕上がります。
歯肉の黒色も薄くなり、歯肉の厚み、歯間乳頭も退縮することなく、自然な感じが表現できています。
著者 歯科医師 村田拓也