2025年10月22日

調布 歯科医院 親知らず抜歯 インプラント ムラタデンタルクリニック
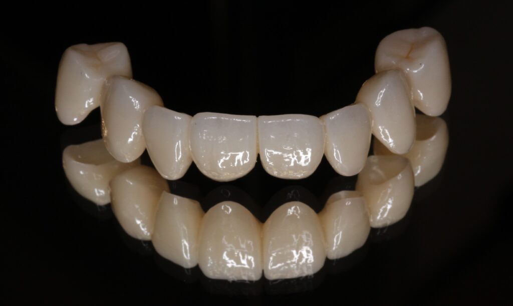
近年のフルジルコニアは、透明度の増加により審美性に優れております。



ひと昔前は、ジルコニアの透明性が低く(白色調)ポーセレンを築盛したり、ステイ二ングをしっかりと入れないと、やや作り物の歯牙感がありました。
現代においては、軽度のステイ二ングで審美性に優れた被せ物が製作できます。
綺麗に完成いたしました。
著者 歯科医師 村田拓也
審美歯科 フルジルコニアブリッジ
2025年10月22日

調布 歯科医院 親知らず抜歯 インプラント ムラタデンタルクリニック
近年のフルジルコニアは、透明度の増加により審美性に優れております。



ひと昔前は、ジルコニアの透明性が低く(白色調)ポーセレンを築盛したり、ステイ二ングをしっかりと入れないと、やや作り物の歯牙感がありました。
現代においては、軽度のステイ二ングで審美性に優れた被せ物が製作できます。
綺麗に完成いたしました。
著者 歯科医師 村田拓也
TOP